An ingrown toenail occurs when the edge of the nail grows into the surrounding skin, causing pain, swelling, redness, and sometimes infection. It most commonly affects the big toe and can make walking, wearing shoes, or even standing uncomfortable.
Mild cases may improve with home remedies, proper nail trimming, or soaking. But when the condition becomes severe, recurrent, or infected, ingrown toenail surgery in Dubai offers a long-term solution. Two of the most effective procedures are Partial Nail Avulsion and Phenol Matrixectomy, both designed to relieve pain and prevent recurrence.
Patients seeking ingrown toenail removal in the UAE can consult specialists like Dr. Farivar Bagheri, one of the best podiatrists and foot surgeons in Dubai, with expertise in minimally invasive foot and nail procedures.
Comparison
Conservative care (antibiotics, soaks, nail splints) may provide temporary relief. However, partial nail avulsion in Dubai and phenol matrixectomy ingrown nail surgery in UAE ensure permanent results with low recurrence rates and faster recovery compared to repeated non-surgical management.
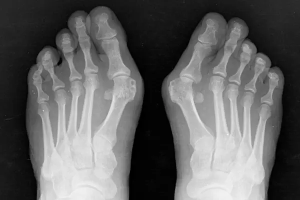
Key Highlights of Hallux Valgus (Bunion Surgery)
- Purpose: Correct deformity of the big toe, relieve pain, and restore foot alignment.
- When Recommended: For painful bunions, difficulty walking, or failure of non-surgical treatments.
- Procedure: Minimally invasive bunion surgery using small incisions and specialized instruments to realign the toe joint.
- Benefits: Less pain, minimal scarring, quicker recovery, and long-term correction.
- Success Rate: High — most patients achieve improved mobility, shoe comfort, and relief from chronic bunion pain.
What is Minimally Invasive Bunion Surgery?
Why Consider Bunion Surgery in Dubai?
- Access to advanced minimally invasive bunion correction techniques.
- Performed by board-certified orthopedic and foot specialists.
- Personalized care plans for mild, moderate, or severe bunions.
- Proven outcomes in pain relief, foot function, and cosmetic improvement.
Advanced Options for Bunion Correction
- Minimally Invasive Surgery (MIS): Smaller incisions, quicker recovery, less scarring.
- 3D Computer-Assisted Surgery: Ensures accurate bone realignment.
- Custom Orthotics Post-Surgery: Maintains foot alignment and prevents recurrence.
- Day-Care Surgery: Many patients walk with special shoes on the same day.
Recovery Journey After Frozen Shoulder Arthroscopy
(Immediate Phase)
- Protected walking in a surgical shoe within 24–48 hours.
- Pain controlled with medications and ice therapy.
(Rehabilitation Phase)
- Gradual return to normal walking within 4–6 weeks.
- Swelling decreases significantly by 8–10 weeks.
- Full recovery and shoe comfort in 3–4 months.
To restore pain-free walking, correct toe alignment, and allow patients to wear shoes comfortably again.
What causes hallux valgus (bunions)?
Bunions are often caused by genetics, improper footwear, flat feet, or arthritis.
When should I consider bunion surgery in Dubai?
If bunions cause persistent pain, difficulty walking, or interfere with daily activities despite non-surgical care.
What is the difference between open and minimally invasive bunion surgery?
Open surgery involves larger cuts and longer recovery. Minimally invasive bunion surgery in Dubai uses tiny incisions, offering less pain and faster healing.
How much does bunion surgery cost in Dubai?
The average cost of hallux valgus surgery in Dubai ranges from AED 25,000–40,000 depending on hospital and procedure type.
5. Who is the best surgeon for bunion correction in Dubai?
Dr. Farivar Bagheri is widely regarded as one of the best foot and ankle surgeons in Dubai, specializing in hallux valgus correction and minimally invasive bunion surgery.
