Freiberg Disease, also known as Freiberg Infraction, is a rare but painful condition that affects the metatarsal head (usually the second toe). It occurs when the blood supply to the bone is disrupted, leading to collapse, pain, and stiffness in the toe joint. Over time, patients may experience swelling, difficulty walking, and problems wearing shoes.
The condition is most common in adolescents and young adults, especially females, and may result from repetitive stress, trauma, or poor foot mechanics. Early diagnosis is crucial, as Freiberg disease treatment in Dubai can significantly improve symptoms and prevent long-term deformity.
Non-surgical treatments such as rest, activity modification, custom orthotics, and physiotherapy are often recommended for mild cases. In more advanced stages, Hallux Rigidus Treatment in UAE, including procedures like debridement, osteotomy, or joint replacement, provides long-term relief.
Freiberg Disease
- Purpose: Relieve pain, restore mobility, and prevent joint deformity.
- When Recommended: For patients with persistent pain, joint stiffness, or deformity despite conservative care.
- Procedure: May include joint debridement, osteotomy, or metatarsal head replacement surgery in Dubai.
- Benefits: Pain relief, restored walking comfort, and improved toe alignment.
- Success Rate: High, especially when treated early with proper interventions.
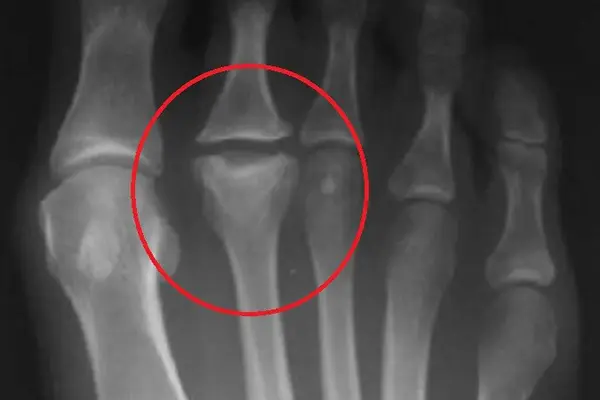
What is Freiberg Disease?
Freiberg Disease is a type of osteonecrosis of the metatarsal head, where bone tissue dies due to lack of blood supply. This leads to joint collapse and progressive arthritis in the forefoot. Symptoms include:
- Pain in the ball of the foot (especially under the second toe).
- Swelling and stiffness around the affected joint.
- Difficulty wearing normal shoes.
- Worsening pain with sports or prolonged standing.
Non-Surgical Options: Rest, orthotics for arch support, anti-inflammatory injections, and physiotherapy for foot alignment.
Surgical Options:
- Joint Debridement: Cleaning damaged bone and cartilage.
- Osteotomy: Realigning the bone for better joint function.
- Arthroplasty or Joint Replacement: For advanced cases with severe deformity.
Why Consider Freiberg Disease Treatment in Dubai?
- Access to leading orthopedic and foot & ankle surgeons.
- Advanced imaging (MRI, CT) for accurate diagnosis and staging.
- Expertise in both conservative management and surgical correction.
- High success rates with modern techniques like osteotomy and joint replacement.
Advanced Options for Freiberg Infraction
- Custom Orthotics: Reduce pressure on the affected metatarsal.
- PRP & Biological Injections: Promote healing in early stages.
- Minimally Invasive Surgery: Smaller incisions, faster recovery.
- Joint Preservation Techniques: Delay or avoid full replacement in young patients.
Recovery Journey After Freiberg Disease Surgery
(Immediate Phase)
- Walking allowed with protective footwear.
- Pain managed with medications and ice therapy.
(Rehabilitation Phase)
- Physiotherapy to restore strength and flexibility.
- Gradual return to normal footwear in 4–6 weeks.
- Full recovery for sports and activities in 2–3 months.
To restore pain-free mobility, prevent long-term joint degeneration, and maintain an active lifestyle.
What is Freiberg disease?
Freiberg disease, or Freiberg infraction, is a condition where the metatarsal head loses blood supply, leading to bone collapse and arthritis.
What are the symptoms of Freiberg disease?
Pain in the ball of the foot, swelling, stiffness, and difficulty wearing shoes are the most common symptoms.
Can Freiberg disease heal without surgery?
In early stages, non-surgical treatment (rest, orthotics, medication) may control symptoms. Advanced stages often require surgery.
What surgeries are available for Freiberg disease in Dubai?
Procedures include joint debridement, osteotomy, or metatarsal head replacement depending on severity.
How much does Freiberg disease surgery cost in Dubai?
The cost typically ranges from AED 18,000–35,000, depending on the complexity of the procedure.
